Cấp cứu đau răng tạm thời – mẹo nhanh và khi nào cần đến nha khoa ngay!
Ngày cập nhật
I. Cấp cứu đau răng tạm thời là gì? Tại sao cần xử lý ngay!
Cấp cứu đau răng tạm thời là gì?
Cấp cứu đau răng tạm thời là hành động xử lý khẩn cấp ban đầu, nhằm giảm thiểu tối đa cơn đau nhức, kiểm soát tình trạng viêm nhiễm hoặc chảy máu ngay tại nhà, trước khi nhận được sự can thiệp chuyên môn của nha sĩ.
Tại sao việc trì hoãn đến nha khoa lại nguy hiểm?
Nhiều người có thói quen chịu đựng hoặc chỉ dùng thuốc giảm đau để hoãn lại việc đến nha sĩ. Tuy nhiên, việc trì hoãn này vô cùng nguy hiểm bởi nó có thể dẫn đến các biến chứng nghiêm trọng:
- Lây lan nhiễm trùng: Nhiễm trùng từ răng có thể lan rộng sang các vùng khác trên mặt, đầu, thậm chí là lan vào máu (nhiễm trùng huyết), đe dọa đến tính mạng.
- Mất răng vĩnh viễn: Tủy răng (phần chứa dây thần kinh và mạch máu) bị viêm hoặc hoại tử nếu không điều trị kịp thời sẽ khiến răng không thể giữ lại được.
- Biến chứng toàn thân: Đau răng kéo dài có thể gây ra mất ngủ, căng thẳng, đau đầu migraine và ảnh hưởng nghiêm trọng đến chất lượng cuộc sống.
Cấp cứu đau răng tạm thời là bước đệm quan trọng, giúp bạn kiểm soát tình hình trong khi chờ đợi cuộc hẹn với nha sĩ.
II. 3 Mẹo xử lý đau răng tại nhà trước khi đến nha sĩ
Việc áp dụng các mẹo này sẽ giúp giảm bớt cảm giác đau nhức và ngăn chặn tình trạng tồi tệ hơn.

Bi-dau-rang-du-doi
Súc miệng và khử khuẩn
Đây là bước đầu tiên và quan trọng nhất để làm sạch khoang miệng và loại bỏ vi khuẩn có thể gây đau. Bạn có thể sử dụng hai thứ này:
- Nước muối ấm: Pha một thìa cà phê muối vào một cốc nước ấm. Súc miệng nhẹ nhàng khoảng 30 giây, lặp lại sau mỗi vài giờ. Nước muối giúp làm sạch vụn thức ăn, giảm sưng tấy và có tính chất sát khuẩn nhẹ.
- Dung dịch Oxy già (Hydrogen Peroxide): Nếu nghi ngờ có nhiễm trùng (mủ), bạn có thể pha oxy già 3% với lượng nước bằng nhau (tỉ lệ 1:1). Súc miệng rồi nhổ ra ngay lập tức, tuyệt đối không nuốt. Chất này có thể giúp làm sạch vết thương và giảm vi khuẩn.
*Có thể bạn quan tâm sản phẩm: Thuốc dùng ngoài Nước Oxy Già 3% Nam Việt chai 60ml
Chườm lạnh, đắp ấm hoặc giảm áp lực – cần lựa chọn phù hợp cho từng trường hợp
Việc dùng nhiệt độ là một cách tuyệt vời để kiểm soát các triệu chứng khác nhau của đau răng.
| Trường hợp | Phương pháp xử lý | Tác dụng | Lưu ý |
Sưng tấy, chấn thương, viêm | Chườm lạnh (túi đá bọc khăn mỏng) | Giảm sưng, co mạch máu, giảm cảm giác đau và chảy máu. | Chườm bên ngoài má, cách khoảng 20 phút chườm, 20 phút nghỉ. |
Đau do co thắt cơ hàm, căng thẳng | Đắp ấm nhẹ (khăn ấm) | Giúp thư giãn cơ hàm, giảm đau cơ. | Chỉ đắp ấm khi không có dấu hiệu sưng tấy hoặc áp xe. |
Giảm áp lực | Kê cao đầu khi ngủ | Giúp máu không dồn về vùng đầu, giảm áp lực lên răng và cảm giác đau nhói. | Tránh nằm nghiêng đè lên bên má bị đau. |
Dùng thuốc giảm đau
Bạn có thể sử dụng các loại thuốc không kê đơn để kiểm soát cơn đau ngay lập tức.
- Thuốc giảm đau: Các loại thuốc thông thường như Ibuprofen hoặc Paracetamol (Acetaminophen) có thể giúp giảm đau và chống viêm. Luôn đọc kỹ hướng dẫn sử dụng và liều lượng phù hợp với độ tuổi và tình trạng sức khỏe cá nhân.
Lưu ý quan trọng: Các phương pháp này chỉ nhằm mục đích cấp cứu đau răng tạm thời và không thay thế cho việc điều trị chuyên môn. Nếu đang dùng thuốc điều trị bệnh lý khác, hãy tham khảo ý kiến bác sĩ/dược sĩ trước khi dùng thêm thuốc giảm đau. Tư vấn ngay tại đây!
III. Khi nào thì đau răng trở thành trường hợp khẩn cấp và dấu hiệu cần đến nha sĩ ngay!
Việc nhận biết các dấu hiệu cảnh báo sau đây sẽ giúp bạn không trì hoãn và tìm kiếm sự hỗ trợ y tế khẩn cấp.

Hay-den-gap-nha-si-ngay!
Đau dữ dội lan lên hàm, tai hoặc đầu
Cơn đau nhức dữ dội, liên tục và lan tỏa không chỉ ở một chiếc răng mà còn lan sang các vùng khác như xương hàm, tai, thái dương, hoặc gây đau đầu dữ dội là dấu hiệu cho thấy dây thần kinh đang bị tổn thương nghiêm trọng hoặc nhiễm trùng đã lan rộng. Tình trạng này cần phải được kiểm tra và can thiệp nha khoa ngay lập tức.
Sưng mặt, sốt, mủ xuất hiện – nghi nhiễm trùng
Đây là những dấu hiệu rõ ràng của nhiễm trùng (áp xe) nguy hiểm:
- Sưng mặt/hàm: Sưng tấy nghiêm trọng, đặc biệt là ở vùng dưới cằm, cổ hoặc mắt, có thể cản trở việc nuốt hoặc thở.
- Sốt cao: Sốt là phản ứng của cơ thể khi nhiễm trùng lan ra ngoài vùng răng miệng.
- Mủ: Xuất hiện mủ chảy ra từ nướu hoặc một nốt sưng (lỗ rò) gần răng đau.
Nếu có bất kỳ dấu hiệu nào trong số này, bạn cần đến phòng khám nha khoa hoặc bệnh viện để được cấp cứu khẩn cấp, vì đây có thể là dấu hiệu của áp xe răng nghiêm trọng cần dẫn lưu.
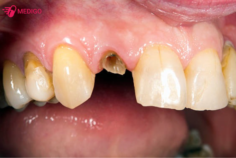
Răng bị gãy, răng khôn mọc lệch hoặc do va chạm mạnh
Bất kỳ chấn thương nào gây tổn thương rõ rệt cho răng cũng được coi là tình huống cấp cứu:
- Gãy/Mẻ răng lớn: Nếu một phần lớn của răng bị vỡ, làm lộ tủy răng (phần màu hồng hoặc đỏ bên trong) sẽ gây đau đớn dữ dội và có nguy cơ nhiễm trùng cao.
- Răng rụng/lung lay: Nếu răng bị rụng hoàn toàn do tai nạn, cần bảo quản răng trong sữa hoặc nước muối sinh lý và đến nha sĩ trong vòng 30–60 phút để tăng cơ hội trồng lại.
- Răng khôn mọc lệch gây sưng tấy: Răng khôn mọc kẹt, gây sưng nướu nghiêm trọng và đau đớn cũng cần được xử lý khẩn cấp để tránh nhiễm trùng Pericoronitis.

Hinh-minh-hoa-rang-bi-gay
IV. Cách chăm sóc sau khi xử lý cấp cứu và phòng ngừa tái phát
Chế độ ăn uống và vệ sinh răng miệng sau cơn đau
Sau khi được nha sĩ xử lý ban đầu hoặc sau khi áp dụng các mẹo cấp cứu đau răng tạm thời, bạn cần tuân thủ chế độ chăm sóc đặc biệt:
- Ăn uống mềm: Tránh xa thức ăn cứng, dai, quá nóng, quá lạnh hoặc quá ngọt. Ưu tiên thức ăn lỏng và mềm như cháo, súp, sinh tố.
- Vệ sinh nhẹ nhàng: Chải răng cẩn thận bằng bàn chải lông mềm, tránh chải trực tiếp vào khu vực đang đau hoặc vừa được điều trị. Dùng chỉ nha khoa ở các khu vực khác và tiếp tục súc miệng bằng nước muối ấm.
- Uống thuốc theo chỉ định: Nếu nha sĩ kê đơn thuốc kháng sinh hoặc giảm đau, hãy tuân thủ nghiêm ngặt, ngay cả khi cơn đau đã giảm.
Khám nha khoa định kỳ và loại bỏ yếu tố nguy cơ
Phòng ngừa luôn tốt hơn là phải cấp cứu đau răng tạm thời.
- Khám định kỳ: Thăm khám nha khoa 6 tháng một lần để nha sĩ có thể phát hiện và điều trị các vấn đề nhỏ (sâu răng, viêm nướu) trước khi chúng phát triển thành tình huống cấp cứu.
- Lấy cao răng: Loại bỏ mảng bám và cao răng là cách hiệu quả nhất để ngăn ngừa viêm nướu và sâu răng.

Cham-soc-rang-that-tot-de-co-mot-nu-cuoi-dep
Nhận biết và thay đổi thói quen có thể gây đau răng
- Bỏ thói quen nghiến răng: Việc nghiến răng khi ngủ gây áp lực lớn lên răng và hàm. Bạn có thể trao đổi với nha sĩ về việc đeo máng chống nghiến.
- Tránh dùng răng sai mục đích: Tuyệt đối không dùng răng để cắn các vật cứng như đá lạnh, mở nắp chai, hoặc cắn bút.
Kết luận
Đau răng là một trải nghiệm không ai mong muốn, nhưng nếu bạn trang bị đầy đủ kiến thức thì bạn hoàn toàn có thể kiểm soát tình hình một cách an toàn và hiệu quả. Sức khỏe răng miệng là vô giá! Nếu bạn hoặc người thân đang gặp những cơn đau răng khẩn cấp, đừng chần chừ. Hãy liên hệ ngay với phòng khám nha khoa uy tín gần nhất hoặc sử dụng các dịch vụ tư vấn trực tuyến Medigo app để nhận được lời khuyên y tế kịp thời và chính xác, giảm chỉ còn 50.000đ cho lần đầu tiên sử dụng.
Đừng để cơn đau răng trở thành mối nguy hại cho sức khỏe!
Một số sản phẩm bạn có thể quan tâm:
- Răng miệng Dạ Thảo Liên
- Tinh dầu răng miệng Faneco
- Nước súc miệng kháng khuẩn Pharmedic Orafar
- Xịt giảm đau răng miệng Vega
- Viên uống bổ sung canxi, hỗ trợ xương và răng khỏe mạnh calcium vitamin k2 D3 MediUSA

Tốt nghiệp khoa dược tại Đại học Y Dược TPHCM và hơn 5 năm kinh nghiệm làm việc trong lĩnh vực y dược. Hiện đang là dược sĩ nhập liệu, quản lý lưu kho sản phẩm và biên soạn nội dung tại ứng dụng MEDIGO.
Đánh giá bài viết này
(6 lượt đánh giá).Thông tin và sản phẩm gợi ý trong bài viết chỉ mang tính chất tham khảo, vui lòng liên hệ với Bác sĩ, Dược sĩ hoặc chuyên viên y tế để được tư vấn cụ thể. Xem thêm
